오른쪽 가슴 통증은 일상생활에서 누구에게나 발생할 수 있는 흔한 증상입니다. 가벼운 근육통부터 심각한 질환의 신호까지, 그 원인은 다양하며 개인마다 느끼는 통증의 강도와 양상도 다릅니다.
특히, 심장과 관련된 질환을 떠올리면 더욱 불안감이 커질 수 있습니다. 하지만 꼭 심각한 질환만이 가슴 통증의 원인은 아닙니다. 오늘은 오른쪽 가슴 통증 이유 13가지와 해결방법에 대해 알아보겠습니다.



오른쪽 가슴 통증 이유 13가지
1. 늑골 연골염
늑골과 흉골을 연결하는 연골 부분에 염증이 생기면 늑골연골염이 발생합니다. 숨을 쉴 때마다 늑골이 움직이면서 염증 부위가 자극되어 통증이 심해지고, 가슴을 누르거나 압박하면 통증이 더욱 악화되는 것이 특징입니다. 충분한 휴식을 취하고, 진통 소염제를 복용하며, 물리치료를 병행하면 증상 완화에 도움이 될 수 있습니다.



2. 근육 긴장
가슴 근육의 과도한 사용이나 불균형한 자세는 대흉근, 소흉근 등 가슴 근육의 긴장을 유발하여 가슴 통증을 일으킬 수 있습니다. 이러한 경우, 가슴 근육 스트레칭과 함께 어깨 주변 근육 강화 운동을 병행하고, 전문가의 도움을 받아 근막 이완 마사지나 물리치료를 시행하면 통증 완화에 효과적입니다.



3. 역류성 식도염
위산이 식도로 역류하면 식도 점막을 자극하여 염증을 일으키는 질환을 역류성 식도염이라고 합니다. 가슴 통증 외에도 속 쓰림, 신트림, 목 이물감 등 다양한 증상이 동반될 수 있습니다. 식습관 개선, 제산제 복용, 생활 습관 개선과 같은 보존적인 치료와 함께 필요에 따라 약물 치료나 내시경 시술을 받을 수 있습니다.



역류성 식도염에 좋은 음식 vs 나쁜 음식 12가지
역류성 식도염은 현대인들에게 흔히 나타나는 질환 중 하나입니다. 불규칙한 식습관, 스트레스, 잘못된 자세 등 다양한 원인으로 인해 위산이 식도로 역류하여 속 쓰림, 신물 올라옴 등의 불편
jhealthdr.com
4. 담석증
담석이 담도를 막아 담즙의 흐름을 방해하면 담낭염이나 췌장염과 같은 합병증이 발생할 수 있습니다. 이 경우, 오른쪽 상복부에 심한 통증과 함께 소화불량, 황달 등의 증상이 나타날 수 있습니다. 약물 치료로 통증을 완화하고 염증을 가라앉힐 수 있으며, 필요에 따라 체외충격파쇄술이나 수술을 통해 담석을 제거할 수 있습니다.



담석 제거 수술, 언제 필요할까요?
'담석'이라는 단어는 한 번쯤 들어봤을 것입니다. 하지만 담석이 정확히 무엇이고, 어떤 증상을 유발하며, 어떻게 치료해야 하는지 자세히 알고 있는 사람은 많지 않습니다. 특히, 담석이 발견
jhealthdr.com
5. 협심증
심장에 혈액이 잘 공급되지 않으면 가슴이 답답하고 아픈 증상이 나타날 수 있습니다. 운동을 하거나 스트레스를 받을 때 더 심해지고, 왼쪽 가슴뿐만 아니라 오른쪽 가슴이나 목, 팔 등으로 통증이 퍼지기도 합니다. 약을 먹거나, 시술을 통해 좁아진 혈관을 넓히거나, 수술을 통해 새로운 길을 만들어 심장에 혈액을 충분히 공급할 수 있도록 치료합니다.



협심증 초기증상 13가지
가슴이 답답하고 뻐근한 느낌이 드는 경험, 한 번쯤 해보셨나요? 단순히 피곤해서라고 생각하고 넘기기 쉽지만, 이러한 증상이 반복된다면 협심증을 의심해 봐야 합니다. 협심증은 조기 발견 시
jhealthdr.com
6. 폐색전증
혈전이 폐동맥을 막아 폐혈관이 막히면 폐에 충분한 산소가 공급되지 않아 호흡곤란, 흉통 등이 발생합니다. 이러한 폐색전증은 혈전 용해제 투여를 통해 혈전을 녹이고, 항응고제를 투여하여 새로운 혈전 생성을 억제하며, 필요에 따라 수술을 통해 혈전을 제거하거나 폐혈관을 넓히는 시술을 시행합니다.



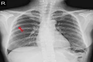
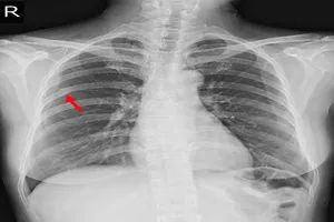
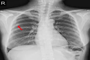
7. 폐렴
폐 조직에 염증이 생겨 발생하는 질환으로, 세균, 바이러스, 곰팡이 등 다양한 원인균에 의해 발생할 수 있습니다. 오른쪽 흉통, 기침, 가래, 발열, 호흡곤란 등의 증상을 유발하며, 흉부 X-ray, 혈액 검사 등을 통해 진단할 수 있습니다. 항생제 투여, 기침약 복용, 충분한 휴식 등 보존적인 치료를 통해 대부분 호전되지만, 중증인 경우에는 입원 치료가 필요할 수 있습니다.



폐렴 치료기간, 전염성 완치까지 얼마나 걸릴까?
폐렴은 단순한 감기와는 달리 심각한 합병증을 유발할 수 있는 질환입니다. 특히 노인이나 만성질환자의 경우에는 생명을 위협할 수 있습니다. 따라서 폐렴을 조기에 발견하고 적절한 치료를
jhealthdr.com
8. 늑막염
폐를 둘러싸고 있는 막에 염증이 생겨 발생하는 질환입니다. 숨을 쉴 때 흉통이 심해지고, 기침 시 통증이 악화되는 것이 특징입니다. 폐렴, 결핵, 암 등 다양한 원인에 의해 발생할 수 있으며, 항생제 투여, 진통소염제 복용, 충분한 휴식 등 보존적인 치료를 통해 대부분 호전됩니다.



9. 대상포진
대상포진 바이러스는 신경을 따라 이동하며 피부에 띠 모양의 물집을 형성하는 질환입니다. 특히 오른쪽 가슴 부위에 발생하면 심한 통증과 함께 붉은 반점과 물집이 나타날 수 있습니다. 대상포진 치료에는 바이러스 증식을 억제하고 통증을 완화시키는 항바이러스제가 사용됩니다. 50세 이상 성인은 대상포진 백신 접종을 통해 질병 예방이 가능합니다.



대상포진 예방접종 가격 총정리 (2025 무료접종 대상)
대상포진은 중장년층 이상에서 흔히 발생하여 삶의 질을 크게 떨어뜨리는 질환입니다. 극심한 통증과 오랜 기간 지속되는 신경통은 일상생활을 어렵게 만들 수 있지만, 다행히 예방접종을 통해
jhealthdr.com
10. 불안 장애
불안 장애는 심리적인 스트레스나 긴장으로 인해 과도한 불안감을 느끼는 상태입니다. 이러한 불안은 심장이 두근거리고 호흡 곤란, 땀 등의 신체적인 증상을 유발할 수 있으며, 불안 상태에서는 근육이 긴장되어 가슴 주변 근육이 경직되면서 통증을 유발할 수 있습니다. 정신과 전문의와 상담하여 정확한 진단을 받고, 적절한 치료를 받는 것이 중요합니다.



11. 유방 질환
유방은 호르몬 변화에 민감하게 반응하는 기관으로, 다양한 질환이 발생할 수 있습니다. 유방 낭종, 유선염, 섬유종 등은 물론, 유방암과 같은 심각한 질환도 유발될 수 있습니다. 이러한 유방 질환들은 흔히 압통이나 통증을 유발합니다. 특히 오른쪽 가슴에 통증이 느껴진다면, 유방 질환을 의심해 보고 정확한 진단을 위해 유방 초음파, MRI, 조직 검사 등을 받아보는 것이 좋습니다.



유방암에 좋은 음식 20가지
유방암 치료는 힘든 과정이지만, 건강한 식단은 치료 효과를 높이고 면역력을 강화하는 데 중요한 역할을 합니다. 특정 음식은 암세포 성장을 억제하고 항산화 작용을 통해 건강을 지키는 데 도
jhealthdr.com
12. 갈비뼈 골절
갈비뼈는 우리 몸의 중요한 내장기관을 보호하는 울타리와 같은 역할을 합니다. 하지만 강한 충격이나 외상으로 인해 갈비뼈가 부러지면, 마치 울타리가 무너진 것처럼 흉통이 심해질 수 있습니다. 특히 숨을 쉴 때나 기침을 할 때, 그리고 부러진 부위를 누를 때 통증이 더욱 악화되는 것이 특징입니다. 따라서 가슴에 강한 충격을 받은 후 심한 통증이 지속된다면, 정확한 진단을 위해 병원에서 X-ray 검사 등을 받아보는 것이 좋습니다.



13. 심장막염
심장막염으로 인한 통증은 주로 가슴 중앙 부위에서 느껴지지만, 왼쪽 어깨나 목까지 퍼져 오른쪽 가슴에도 통증이 나타날 수 있습니다. 심호흡을 하거나 기침을 할 때 통증이 더욱 심해지는 것이 특징입니다. 또한, 저열과 함께 피로감을 느낄 수 있으며, 심한 경우에는 호흡곤란이 발생하기도 합니다. 심장막염의 원인은 다양하며, 바이러스 감염이 가장 흔합니다. 따라서 충분한 휴식과 수분 섭취, 해열제 복용 등 보존적인 치료가 주로 이루어집니다. 하지만 심각한 경우에는 추가적인 치료가 필요할 수 있습니다.



지금까지 오른쪽 가슴 통증 이유 13가지와 해결방법에 대해 알아보았습니다. 가장 중요한 것은, 오른쪽 가슴 통증이 지속되거나 심해진다면 반드시 병원을 방문하여 정확한 진단을 받고 전문가의 조언을 따라야 한다는 점입니다.
자신의 건강은 스스로 지켜야 합니다. 정기적인 건강 검진을 통해 건강 상태를 확인하고, 평소 건강한 생활 습관을 유지하는 것이 중요합니다.
'내과' 카테고리의 다른 글
| 위암에 좋은 음식 16가지 (0) | 2025.02.12 |
|---|---|
| 속쓰림 원인 8가지와 치료 방법 (0) | 2025.02.12 |
| 왼쪽 옆구리 통증 이유 15가지와 해결방법 (0) | 2025.02.09 |
| 미란성 위염이란 무엇일까? (0) | 2025.02.06 |
| 과민성 대장증후군 증상 12가지 (0) | 2025.02.03 |