가슴 통증은 누구에게나 찾아올 수 있는 불편하고 걱정스러운 증상입니다. 가슴이 답답하거나 찌릿거리는 느낌, 혹은 심하게 눌리는 듯한 통증까지, 그 양상은 다양하고 원인 또한 복잡합니다. 단순한 근육통부터 심각한 질환까지, 가슴 통증의 원인을 정확히 파악하고 적절한 대처를 하는 것이 중요합니다. 오늘은 가슴 통증 원인 12가지와 해결방법에 대해 알아보겠습니다.



가슴 통증 원인 12가지
1. 심근경색, 협심증
심근경색이나 협심증과 같은 심장 질환은 관상동맥이 좁아지거나 막혀 심장 근육에 충분한 산소 공급이 이루어지지 않아 발생합니다. 이러한 질환은 좌측 가슴 중앙에서 시작하여 팔, 어깨, 목 등으로 퍼지는 압박감이나 답답함을 느낄 수 있으며, 숨 가쁨, 식은땀 등의 증상이 동반될 수 있습니다. 특히, 갑작스럽고 심한 가슴 통증이 지속된다면 심근경색을 의심해야 하므로 즉시 119에 신고하고 병원으로 이동해야 합니다. 병원에서는 심전도, 심초음파, 혈액검사 등을 통해 정확한 진단을 내리고, 스텐트 시술, 관상동맥 우회수술 등 적절한 치료를 시행하게 됩니다.



협심증 초기증상 13가지
가슴이 답답하고 뻐근한 느낌이 드는 경험, 한 번쯤 해보셨나요? 단순히 피곤해서라고 생각하고 넘기기 쉽지만, 이러한 증상이 반복된다면 협심증을 의심해 봐야 합니다. 협심증은 조기 발견 시
jhealthdr.com
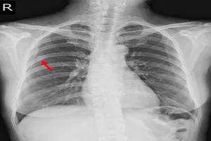
2. 폐렴, 폐색전증
폐에 염증이 생기는 폐렴이나 폐혈관에 혈전이 생겨 막히는 폐색전증과 같은 질환은 가슴 통증을 유발할 수 있습니다. 이러한 질환들은 가슴 통증 외에도 기침, 호흡곤란, 열 등의 증상을 동반하기도 합니다. 정확한 진단을 위해 흉부 X-ray, CT 촬영 등의 영상 검사와 객담 검사를 시행하며, 항생제 투여, 산소 요법 등 질환에 맞는 적절한 치료를 받아야 합니다.



폐렴에 좋은 음식 14가지 총정리
폐렴, 단순한 감기라고 생각하시나요? 폐렴은 심각한 합병증을 유발할 수 있는 무서운 질환입니다. 특히 노약자나 만성질환자에게는 더욱 위험합니다. 하지만, 올바른 식습관을 통해 폐 건강을
jhealthdr.com
3. 늑골골절, 늑연골염
가슴 부위의 뼈나 여골, 특히 갈비뼈나 늑연골에 손상이 발생하면 통증이 나타날 수 있습니다. 숨을 쉬거나 몸을 움직일 때, 혹인 특정 부위를 누를 때 통증이 더욱 심해지는 것이 특징입니다. 충분한 휴식을 취하고, 진통소염제를 복용하며, 필요에 따라 물리치료를 받으면 증상 완화에 도움이 될 수 있습니다.



4. 역류성 식도염, 위궤양
위산이 식도로 역류하는 역류성 식도염이나 위 내벽에 상처가 생기는 위궤양은 가슴 통증을 유발할 수 있습니다. 특히, 가슴 쓰림, 속 쓰림 소화불량과 함께 가슴 중앙 부위에 타는 듯한 통증이 느껴진다면 이러한 질환들을 의심해 볼 수 있습니다. 식습관 개선과 함께 약물 치료를 병행하면 증상 완화에 도움이 됩니다.



역류성 식도염 증상 12가지, 치료 병원 어디?
역류성 식도염(GERD)은 단순한 불편함을 넘어 식도암과 같은 심각한 질환으로 이어질 수 있는 만큼, 조기 발견과 치료가 중요합니다. 초기에는 가벼운 증상으로 시작하지만, 방치하면 증상이 악
jhealthdr.com
5. 불안, 스트레스, 공황장애
불안, 스트레스, 공황장애와 같은 심리적인 요인은 가슴 통증을 유발할 수 있습니다. 숨이 막히는 듯한 느낌이나 가슴이 답답하고, 심한 두근거림, 어지럼증 등의 증상이 동반되기도 합니다. 이러한 증상은 실제로 심장에 문제가 있는 것은 아니지만, 심리적인 불안감이 신체적인 증상으로 나타난 것일 수 있습니다. 심리 상담이나 약물 치료를 통해 심리적인 안정을 찾고, 이와 관련된 신체 증상 또는 완화될 수 있습니다.



집에서 할 수 있는 스트레스 해소법 9가지
바쁜 일상 속에서 우리는 끊임없이 스트레스에 시달립니다. 업무, 학업, 인간관계에서 오는 스트레스는 우리의 몸과 마음을 지치게 만들고, 심지어 건강까지 위협합니다. 오늘은 일상 속 스트
jhealthdr.com
6. 대상포진, 늑막염, 심낭염
대상포진, 늑막염, 심장염과 같이 다양한 질환이 가슴 통증의 원인이 될 수 있습니다. 각 질환마다 나타나는 증상과 필요한 치료가 다르기 때문에, 정확한 진단을 위해 병원을 방문하여 전문적인 검사를 받는 것이 중요합니다. 조기에 적절한 치료를 받으면 합병증을 예방하고 빠른 회복을 기대할 수 있습니다.



7. 대동맥 박리
대동맥 박리는 갑작스럽고 심한 가슴 통증을 유발하는 무서운 질환입니다. 마치 가슴이 찢어지는 듯한 극심한 통증이며, 등이나 복부까지 특징이며, 종종 등이나 복부까지 퍼질 수 있습니다. 고혈압이 가장 흔한 원인으로, 높은 혈압이 대동맥 벽을 약하게 만들어 혈관이 터지는 것처럼 박리가 발생합니다. 대동맥 박리는 생명을 위협할 수 있으므로 즉각적인 치료가 절대적으로 필요합니다. 치료 방법은 환자의 상태에 따라 약물 치료나 수술이 선택될 수 있습니다.



고혈압 낮추는 방법 16가지, 혈압 10mmHg 낮추기
현대인의 만성 질환으로 자리 잡은 고혈압. 혈압이 높아지면 심장, 뇌, 신장 등에 부담을 주어 합병증을 유발할 수 있습니다. 하지만, 올바른 생활 습관을 통해 충분히 관리할 수 있습니다. 오늘
jhealthdr.com
8. 근육 긴장
잘못된 자세로 오랫동안 생활하거나 특정 부위에 과도한 부담을 주면 어깨, 목, 가슴 주변 근육이 긴장되어 통증을 유발할 수 있습니다. 특히 장시간 같은 자세로 앉아 있거나 스마트폰을 사용하는 등 이러한 생활 습관은 근육 긴장을 더욱 악화시킬 수 있습니다. 또한, 운동 부족이나 과도한 운동도 근육 긴장의 원인이 되므로, 적절한 운동과 휴식이 중요합니다. 긴장된 근육을 풀어주기 위해 어깨, 목, 가슴 부위를 중심으로 스트레칭을 꾸준히 해주고, 따뜻한 물찜질을 병행하면 통증 완화에 도움이 됩니다.



거북목 교정운동 스트레칭 7가지
거북목은 단순히 자세가 좋지 않은 문제를 넘어 디스크, 신경 압박 등 심각한 질환으로 이어질 수 있습니다. 또한 외모적으로도 좋지 않은 인상을 줄 수 있어 자신감 저하로 이어지기도 합니다.
jhealthdr.com
9. 약물 부작용
다양한 약물이 가슴 통증을 유발할 수 있습니다. 특히 심장 질환이나 소화기 질환 치료에 사용되는 약물, 진통제 등이 그 원인이 될 수 있습니다. 약물 복용으로 가슴 통증이 나타난다면 반드시 담당 의사에게 알려야 합니다. 의사는 약물 용량을 조절하거나 다른 약으로 변경하는 등 환자의 상태에 맞는 적절한 조치를 취해줄 것입니다. 약을 복용할 때는 반드시 처방받은 대로, 정해진 시간에, 정해진 양을 복용하고, 물과 함께 복용하는 등 약 복용법을 정확히 지켜야 합니다.



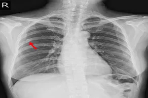
10. 기흉
가슴 통증이 갑자기 발생하고 호흡이 가빠진다면, 기흉을 의심해 볼 수 있습니다. 기흉은 폐에서 공기가 새어 나와 흉강에 차면서 폐가 쪼그라드는 질환으로, 마치 풍선에 구멍이 난 것처럼 폐에 공간이 생기는 현상입니다. 특별한 원인 없이 발생하는 경우가 많으며, 마르고 키가 큰 남성에게서 자주 나타납니다. 기흉의 치료는 질병의 정도에 따라 다르지만, 조기에 발견하고 적절한 치료를 받으면 대부분 완치될 수 있습니다. 따라서 가슴 통증이 지속되거나 호흡이 불편하다면 즉시 병원을 방문하여 정확한 진단을 받고, 필요한 치료를 받는 것이 중요합니다.



11. 갈비뼈 골절
갈비뼈 골절은 외부 충격으로 인해 흉곽을 보호하는 갈비뼈가 부러지는 것을 말합니다. 부러진 갈비뼈는 호흡할 때마다 심한 통증을 유발하며, 특히 기침이나 재채기를 할 때 통증이 더욱 심해지는 것이 특징입니다. 다행히도 대부분의 갈비뼈 골절은 보존적인 치료로 회복이 가능합니다. 진통제와 소염제를 복용하고, 충분한 휴식을 취하며, 통증이 심할 경우 팔을 베개로 받치고 옆으로 누워 휴식을 취하는 것이 좋습니다. 또한, 폐렴 예방을 위해 규칙적인 호흡 운동을 하는 것이 중요합니다.



12. 식도 경련
식도 경련은 식도 근육이 음식물을 삼킬 때처럼 부드럽게 수축해야 하는데, 이러한 운동이 불규칙해지면서 마치 식도가 좁아진 듯한 느낌과 함께 심한 가슴 통증이 발생하는 질환입니다. 정확한 원인은 아직 명확하게 밝혀지지 않은 경우가 많지만, 스트레스나 특정 음식이 악화 요인으로 작용할 수 있습니다. 갑작스럽고 짧은 시간 동안 심한 통증이 반복적으로 나타나는 것이 특징이며, 때로는 음식물이 걸리는 듯한 느낌이나 숨이 가쁜 증상을 동반하기도 합니다. 매운 음식, 찬 음식, 카페인 등 자극적인 음식은 식도를 자극하여 증상을 악화시킬 수 있으므로 피하는 것이 좋으며, 스트레스 관리와 규칙적인 식사를 통해 증상 완화에 도움을 줄 수 있습니다.



마지막으로 가슴 통증 원인 6가지에 대해 알아보았습니다. 가슴 통증은 다양한 원인에 의해 발생할 수 있으며, 그 심각성도 다르기 때문에 반드시 전문가의 진료를 받아야 합니다. 오늘의 글이 도움이 되셨기를 바라며, 여러분의 건강을 기원합니다.
'내과' 카테고리의 다른 글
| 심근경색 초기증상 14가지 (0) | 2025.01.23 |
|---|---|
| 저혈압 원인 9가지와 해결방법 (0) | 2025.01.20 |
| 대장암 초기증상 14가지 (0) | 2025.01.18 |
| 대장암 4기 생존율은 얼마나 될까? (0) | 2025.01.16 |
| 과민성 대장증후군 치료법 13가지 총정리 (0) | 2025.01.16 |